Ein offener Biss durch den Schnuller wird vor allem dann begünstigt, wenn das Kind bereits 3 Jahre oder älter ist. Kinder nehmen einen offenen Biss häufig nicht wahr, da sie es nicht anders gewohnt sind. Wird die Fehlstellung nicht behandelt, kann sie bis ins Erwachsenenalter bestehen bleiben. Die zweite Form ist der seitlich offene Biss.. Häufige Ursachen für den offenen Biss sind zu langes Daumenlutschen oder Schnullern, Mundatmung oder eine muskuläre Dysbalance, das heißt eine Zungen-, Lippen- oder Wangenfehlfunktion. Wenn Ihr Kind sehr lange am Däumchen lutscht oder einen Schnuller trägt, hemmt dies das Oberkieferwachstum. Denn durch den Druck des Fingers oder.

Offener Biss Kleinkind Symptome & Behandlung Bissfest Nowroozi

Fehlstellungen AZ Style Your Smile, Dr. Brünner

Offenen Biss KFO Düsseldorf

Offener Biss, Vorbiss Dr. Lynn Wilhelmyvon Bernstorff & Dr. Jan H. Willmann

Offener Biss Behandlung mit Zahnspange, Zahnschiene oder OP

Bissanomalien Korrektur eines skelettal offenen Bisses ZWP online das Nachrichtenportal für

Offener Biss Dr. Anne Karl

Offener Biss ein Foto vor und nach der Behandlung

Offener Biss K Clear Fallstudie
Falsche Kieferlage Lippstadt Dr. Bianca Mertens Kieferorthopädie

Open bite

Offener Biss Kleinkind Symptome & Behandlung Bissfest Nowroozi

Zahnfehlstellungen bei Kindern Unterschiede und Behandlung

Offener Biss Behandlung bei Kindern & Erwachsenen Kieferorthopaede089

Offener Biss

Folgen von Lutschhabits und deren Behandlung Prophy
.jpg)
Zähne weitere medizinische Themen Kinder mit DeletionsSyndrom 22q11

Kieferorthopädie So wird ein offener Biss behandelt die Pluszahnärzte® Düsseldorf

Offener Biss Dr Jamilian

Offener Biss bei Kinder (3) www.zahnspangen.de YouTube
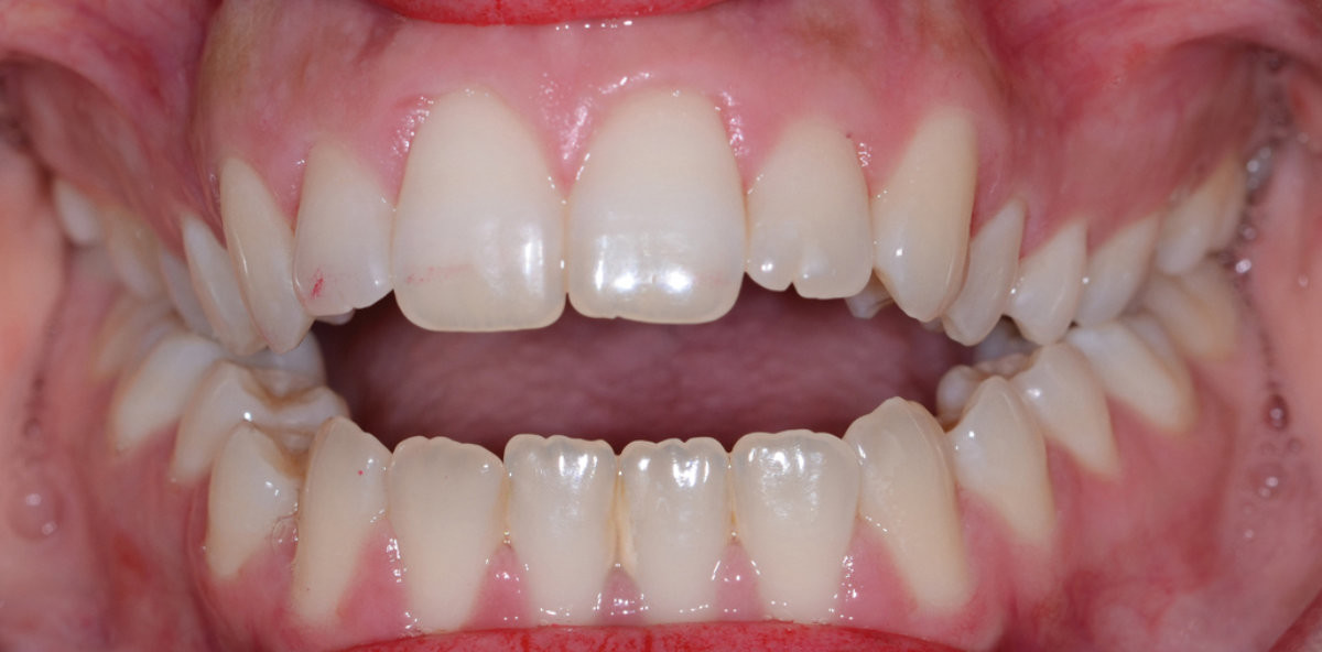
Der offene Biss ist eine häufige Fehlstellung der Zähne, die sich bei Kindern zum Zeitpunkt des Zahnwechsels entwickeln kann.Trifft ein Teil der Zähne im Ober- und Unterkiefer bei geschlossenen Zahnreihen nicht aufeinander, führt das zu erheblichen Problemen beim Kauen, Sprechen und bei der Nahrungsaufnahme, vom unschönen Anblick ganz abgesehen.. Der offene Biss gehört zu den häufigsten Kieferfehlstellungen. Charakteristisch da für ist, dass sich beim Zubeissen eine Lücke zwischen der oberen und der unteren Zahnreihe bildet. Gründe für die Entstehung können beispielsweise das Daumennuckeln oder ein falscher Schnuller sein. Welche Folgen die Kieferfehlstellung mit sich bringen kan.