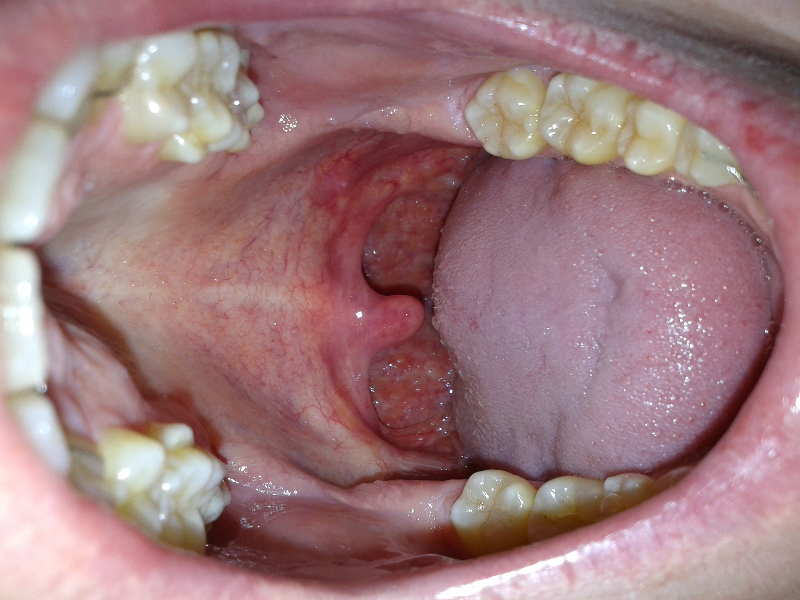
Bei den ersten Anzeichen von weißen Belägen im Mund sollten Sie sofort reagieren und Ihren Arzt aufsuchen. Zur Behandlung von Mundsoor eignen sich miconazolhaltige und besonders haftfähige Mundgels wie z.B. InfectoSoor Mundgel. Eine gute Mundhygiene beugt dem Risiko einer Pilzinfektion vor.. Im Normalfall sind Hefepilze so gut wie harmlos und führen zu keinen Symptomen oder Beschwerden. Sind unser Immunsystem oder unsere Haut und/oder Schleimhaut jedoch wund und verletzt, können sie sich vermehren und zu einer Infektion führen. Passiert dies in unserem Mund, dann sprechen wir von einem Mundsoor, den wir auch als Mundpilz bezeichnen.

Mundsoor. Candidiasis auf der Zunge. Pilz im Mund. Infografiken. auf isoliertem

Mundfäule Symptome, Behandlung, Vorbeugung MOOCI

Pilz Im Magen Darm Symptome Quotes Viral Update

Bläschen Im Mund Baby Captions Hunter

Mundsoor Mundpilz erkennen und behandeln Liebenswert Magazin
:max_bytes(150000):strip_icc()/GettyImages-1138891898-6d9f70580e774dcd958aa505353de7df.jpg)
Herpes On Tongue Pictures Austra Health

Pilze im Mund und Rachenraum Symptome und Folgen

MUNDSOOR Wie man Candidiasis und andere PILZ IM MUND heilt © YouTube

Habe ich Candida/Leaky Gut Syndrom? (Zungenbild)? (Gesundheit und Medizin, Krankheit, Pilze)

Mundsoor (Candida Albicans)? » Symptome • Behandlung

bitte nicht löschen ist wichtg! (Körper, Mund)

Mund und Rachenraum Krankheiten, Gesundheit Ratgeber, 19. Jahrhundert, MundUnd

Habe ich Candida/Leaky Gut Syndrom? (Zungenbild)? (Gesundheit und Medizin, Krankheit, Pilze)

Wie Sieht Mundsoor Aus Captions Ideas

Was Hilft Gegen Zungenbrennen Welche Ursache Und Hausmittel Gibt Es My XXX Hot Girl

Pilz Im Mund Medikament Captions Tempo

Mundfäule und Mundschleimhautentzündung Ursachen, Symptome und Behandlung Heilpraxis

Mundsoor. Candidiasis auf der Zunge. Pilz im Mund. Infografiken. auf isoliertem

Santé et médecine couleur table avec l'Allemand description de maladies de la bouche, la

La candidiasis bucal en niños en la boca tratamiento, síntomas y prevención de la enfermedad.
Entzündung im Mund. Eine Entzündung im Mund ohne Bläschenbildung oder die Entstehung von Belägen betrifft meistens die Mundschleimhaut oder das Zahnfleisch. Zu erkennen ist sie häufig an Rötungen, Schwellungen und Schmerzempfindlichkeit, mitunter kann die betroffene Stelle auch bluten. Eine Mundschleimhautentzündung wird als Stomatitis.. Daneben löst der Pilz im Mund Symptome wie ein verändertes Geschmacksempfinden oder ein brennendes Gefühl auf der Zunge aus. Der Belag, der für das pelzige, unhygienische Gefühl sorgt, lässt sich mit geeigneten Instrumenten abstreifen. Darunter finden sich oftmals gerötete Läsionen, die ihrerseits für die Schmerzen und damit auch für.